審美歯科
AESTHETIC

機能的かつ美しい歯にするための
審美治療
審美歯科では、保険診療では使用できない素材を取り扱うことで、機能の回復と見た目の美しさの両立を目指します。そのため、患者さんのご要望に合わせたオーダーメイドの治療を提供することが可能です。
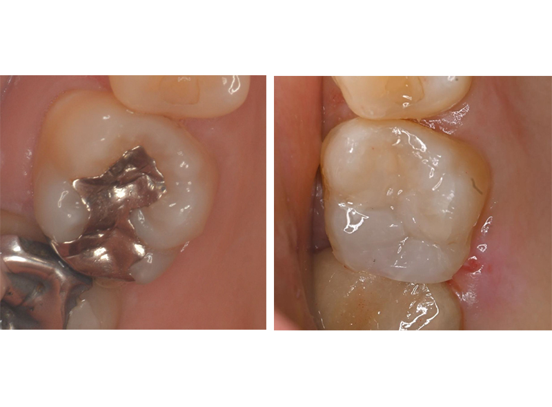
「銀歯を白い歯に変えたい」「より長持ちする詰め物や被せ物を利用したい」などのお悩みやご要望がある場合は、ぜひ当院までご相談ください。
セラミック治療

金属アレルギーの心配なく、虫歯の再発リスクも低い、それがセラミック治療の大きな魅力です。セラミックは、医療分野では人工関節にも使われるほど、生体親和性に優れた素材です。治療で失われた歯の部分を、このセラミックで修復すれば、天然歯のような透明感と光沢を取り戻す効果が期待できます。見た目の美しさだけでなく、強度と耐久性にも優れているため、長期的に快適に過ごせるのもポイントです。
当院のセラミック治療では、患者さん一人ひとりの歯の色調を細かく分析し、オーダーメイドの詰め物・被せ物を作製しています。歯の健康と審美性を両立させたい方に、ぜひ一度ご相談ください。
当院で取り扱うセラミック
ジルコニア

整形外科などで義肢に使用されるほど、体に優しい素材です。
歯の本数やかみ合わせなどを問わず、さまざまな部位に使用できるのがメリットと言えます。
特に奥歯などの噛む力が強い場所には、ジルコニアがおすすめです。
- 治療期間・回数
- 3ヶ月・5~7回
- 費用
- 前歯/121,000円(税込)
奥歯/104,500円(税込)
Merit メリット
- 白く自然な透明感があり、装着している際の違和感がない。
- 金属アレルギーの心配がない。
- 長期使用した場合でも変色に強い。
- 金属やプラスチックよりも強度があり安心して使用できる。
- 高い耐久性を持っている。
- 汚れが付きにくく、外見もきれいな仕上がり。
Demerit デメリット
- 保険が適用できないため自費診療になる。
- 強い衝撃を加えると表面が破折する恐れがある。
- 2重構造でクラウンに厚みが出るため、歯を削る量が多くなる場合がある。
- 調整が難しく、割れた場合は再治療が必要。
オールセラミック

全てセラミックで作られた被せ物です。
他の歯との色調を細かく調整でき、天然歯の色合いに近づけることが可能です。
また、汚れが付きにくく、劣化も生じにくいことから、虫歯の再発を防ぐ効果も期待できます。
- 治療期間・回数
- 約3ヶ月・5~7回
- 費用
- 143,000円(税込)
Merit メリット
- 見た目は天然歯のように透明感があり、自然な色合いを再現できる。
- 汚れに強い。
- 金属アレルギーの心配がない。
- 耐久性があり、摩耗しにくい。
- 長期間の使用でも、着色や変色が少ない。
- 加工しやすい素材のため、精密さにこだわった治療ができる。
Demerit デメリット
- 保険が適用できないため自費診療になる。
- 強い衝撃で破折・破損してしまうことがある。
- 奥歯のように噛む力が特に強い歯には使用が難しい。
- 強度を保つために、銀歯に比べると歯を削る量がやや多い。
メタルボンド

内側が金属、外から見える部分にセラミックを取り付けた素材です。
金属が使用されているため耐久性があり、セラミックも使用されていることから天然歯に近い見た目を再現できます。ただし、金属アレルギーの患者さんには適さない素材です。
- 治療期間・回数
- 約3ヶ月・5~7回
- 費用
- プレシャスメタル/143,000円(税込)
セミプレシャスメタル/121,000円(税込)
Merit メリット
- 見た目の変色に強い。
- 内冠が丈夫なため、前歯・臼歯どちらでも使用できる。
Demerit デメリット
- 保険が適用できないため自費診療になる。
- 装着していると歯ぐきに着色する場合がある。
- 金属アレルギーを起こす可能性がある。
ダイレクトボンディング

ダイレクトボンディングとは、治療部位の患部を歯科用プラスチックのレジンで埋め、歯の形を整えていく治療法です。
歯を削る量を最小限に抑えながら、歯の形状や機能性を回復することができます。
治療中の痛みもほとんどなく、患者さんの身体的負担を軽減できるのが特徴です。
- 治療期間・回数
- 2ヶ月・3~5回
- 費用
- 33,000円(税込)
Merit メリット
- 虫歯部位のみ削ることから、削る量を最小限に抑えられる。
- 材料の見た目が白いため、審美性に優れている。
- 技工物を作る必要がなく、虫歯除去と修復までほぼ一回の治療で終えられる。
Demerit デメリット
- 患者さんのご希望や治療箇所によっては自費診療になる。
- 進行している虫歯に関しては、治療が適用できない可能性がある。
- かみ合わせや経年劣化により割れる・欠ける症例が報告されている。
ラミネートベニア

ラミネートベニアは、歯の表面を薄く削り、そこにセラミックの薄い板を貼り付けるという治療法です。歯を大きく削る必要がないため、神経を取るリスクを抑えられ、歯の寿命を延ばすことにもつながります。
当院では、ラミネートベニアをご希望の患者さんには、メリットとデメリットをしっかりとご説明しています。その上で、お口の状態を見極め、適切な治療法をご提案。ご要望に合わせて、理想の笑顔を実現するお手伝いをしています。
- 治療期間・回数
- 3ヶ月・5~7回
- 費用
- 88,000円(税込)
Merit メリット
- 歯を削る範囲が少なく、健康な歯質を保持できる。
- 歯の根元まで削らないため、歯の寿命を長く維持できる。
Demerit デメリット
- 保険が適用できないため自費診療になる。
- 症状によっては神経を抜く治療が必要となる場合がある。
ホワイトニング

当院では、歯を削ることなく白くできるホワイトニング治療をご用意しています。
ホワイトニングは、歯に沈着した着色成分を専用の薬剤で分解し、本来の歯の白さを取り戻す治療法です。
営業や接客業に携わる方を中心に、ご好評をいただいております。
歯が黄ばむ原因
- 食べ物
- コーヒーや紅茶、赤ワインなど、日常的に摂取する飲食物の中には、歯の表面に着色しやすいものがあります。これらの食品に含まれる色素成分が、歯の凹凸に蓄積することで、知らず知らずのうちに歯が黄ばんでしまうのです。特に、カフェインやポリフェノール、タンニンを多く含む食べ物や飲み物は要注意です。
- 喫煙
- 喫煙は歯の黄ばみの大きな原因の一つです。タバコのヤニに含まれるタールが歯の表面に付着し、頑固な着色を引き起こします。喫煙をやめることが歯の黄ばみ予防に効果的ですが、ニコチン依存からの脱却は容易ではありません。禁煙が難しい場合は、こまめな歯磨きと定期的な歯科検診でのクリーニングを心がけましょう。
- 歯垢(プラーク)・歯石
- 歯垢は細菌のかたまりで、放置すると歯石になってしまいます。歯垢や歯石が歯の表面に蓄積すると、黄ばんで見えるだけでなく、虫歯や歯周病のリスクも高まります。特に歯石は、歯ブラシでは除去できないため、定期的な歯科検診でのクリーニングが不可欠です。
- 加齢
- 年齢を重ねるにつれ、歯の表面を覆うエナメル質が徐々に磨耗していきます。エナメル質が薄くなると、その下にある黄色みを帯びた象牙質が透けて見えるようになり、歯が黄ばんで見えるのです。加齢による歯の黄ばみは自然な現象ですが、適切なオーラルケアと定期的な歯科検診で、白い歯を維持しましょう。
- エナメル質の薄さ
- 歯は、表面のエナメル質と内部の象牙質の2層で構成されています。エナメル質は半透明で、象牙質は乳白色で黄色みを帯びています。生まれつきのエナメル質の厚さには個人差があり、厚い人は歯が白く見え、薄い人は黄色みが強く見える傾向があります。
ホワイトニングの種類
オフィスホワイトニング

高濃度の薬剤を使用し、歯科医院で行うホワイトニング治療です。
歯に薬剤を塗布し、光を当てて成分を活性化させることで、スピーディーに歯を白くしていきます。
患者さんのご希望に応じて複数回の施術を行うこともあります。1回の施術で効果を実感しやすいのが特徴です。
- 治療期間・回数
- 1日・1回
- 費用
- 33,000円(税込)
Merit メリット
- 資格を持つ歯科医師・歯科衛生士が施術を担当するので、ムラが少ない仕上がりになる。
- 1回の施術でも、ホワイトニング効果を得やすい。
- 必要に応じて歯のクリーニングと同時に対応できる。
- 処置時に何か異常を覚えた時も適切な処置ができる。
Demerit デメリット
- 保険が適用できないため自費診療になる。
- ホームホワイトニングに比べ、患者さんによっては料金を割高に感じる場合がある。
- 歯の白さを保つには、繰り返しの来院が必要になる。
- 薬剤を使用する際、痛みを感じたり、沁みたりする場合がある。
ホームホワイトニング

歯科医院で患者さんの歯型に合わせたマウスピースを作製し、ご自宅で行うホワイトニング治療です。
マウスピースに薬剤を注入し、一定時間装着することで、徐々に歯を白くしていきます。
オフィスホワイトニングに比べると薬剤の濃度が低いため、目的の白さを得るには数週間から2か月程度を要します。ただし、自然な白さを得られるのがメリットです。
- 治療期間・回数
- 2週間・10回
- 費用
- 33,000円(税込)
Merit メリット
- ご自宅でできるのでライフスタイルに合わせやすい。
- ホワイトニングの効果が持続しやすい。
- オフィスホワイトニングに比べ治療費が安い。
- 色戻りがしにくい。
Demerit デメリット
- 保険が適用できないため自費診療になる。
- オフィスホワイトニングに比べ、薬剤の濃度を抑えているため、効果が見られるまで時間がかかる。
- オフィスホワイトニングに比べ、一回の使用時間が長くなる。
- ホワイトニング期間中、歯に色移りしやすい飲食物に気を付けなくてはいけない。